皇冠信用网在线注册_河南一老人做冠脉造影手术时一截导丝断在血管中!院方回应
世界杯皇冠信用网平台(www.hg0088.us)为您提供最新登1登2登3代理网址,包括新2登1登2登3代理手机网址,新2登1登2登3代理备用网址,皇冠登1登2登3代理最新网址,近日,来自河南汝州的高女士反映称,她的父亲在河南省胸科医院做冠脉造影手术时,手术所用导丝末端断裂,一截导丝被遗留在血管中皇冠信用网在线注册。“父亲原本就有血栓,担心随着父亲年龄增长,病情会加剧。”
9月30日,涉事医院医患办公室工作人员告诉南都N视频记者,术后院方组织了相关科室会诊,判断回旋支指引导丝远段断裂,与患者回旋支弥漫性动脉硬化重度狭窄病变及钙化有关皇冠信用网在线注册。如果患者需要做医疗事故鉴定,院方将全力配合。目前仍在与该病人家属进行协商。

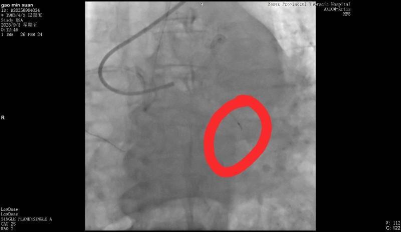
断裂的导丝皇冠信用网在线注册。受访者供图
病人家属:担心遗留导丝会加剧病情
高女士向南都记者介绍,其父亲今年62岁,去年因冠心病在河南省胸科医院做过支架植入手术皇冠信用网在线注册。今年9月2日,因感到胸闷,其父亲再次到该医院复查。
9月5日,高女士父亲在该医院做冠脉造影,手术进行了近3个小时皇冠信用网在线注册。高女士回忆说,手术结束后,负责手术的医生告诉她,“在微创探查体内的时候,一截导丝断裂。”当高女士询问能否再次实施手术取出时,医生表示因病患年纪较大,开胸手术存在危险,并没有取出的必要。但对于遗留导丝会否在后续造成长期影响,该医生则称“无法确定”。
高女士提供的病程记录显示,“手术操作过程中出现回撤导丝困难,送入微导管尝试至坎顿处未成功,退出微导管时远段导丝断裂,多途径尝试取出断裂导丝均未能成功皇冠信用网在线注册。”资料还指出,“通过复查造影,回旋支近段残余狭窄小于30%,未见明显夹层、无复流。”
南都记者留意到,该病程记录给出了心血管外科一病区会诊意见,称“回旋支内见离断的介入导丝,外科取出导丝意义不大,建议内科治疗”皇冠信用网在线注册。
高女士认为,父亲原本就有血栓,按照医院的说法,他的血管狭窄、钙化严重,其担心随着父亲年龄增长,情况会加剧皇冠信用网在线注册。她表示,目前有两个诉求,一是希望医院能给予一定金额的赔偿;二是由医院对接能做开胸手术的医院,必要情况下协助垫付一定费用。
涉事院方:可配合做相关医疗鉴定
9月30日,南都记者联系涉事医院医患办咨询,接线人员表示,目前已了解高女士的诉求,正积极与高女士进行协商皇冠信用网在线注册。
该名接线人员表示,该患者入院后,诊断冠心病、急性冠脉综合征,手术指征明确皇冠信用网在线注册。“术前已与患者及家属沟通病情,告知其冠脉造影及冠脉支架植入术的必要性及相关风险。”
这一说法可以在高女士提供的病程记录中得到印证皇冠信用网在线注册。相关记录显示,9月4日,手术医师进行查房,随后与患者及家属沟通病情,告知其冠脉造影及冠脉支架植入术的必要性及相关风险,其中提及,术后可能出现支架再狭窄或支架内血栓形成,可造成相关脏器急性缺血坏死或功能障碍,危及生命,以及导丝、导管、鞘管等术中所用材料断裂、打折等,必要时需要外科手术治疗。
该医患办工作人员向南都记者解释称,术后院方组织了相关科室会诊,判断回旋支指引导丝远段断裂,与患者回旋支弥漫性动脉硬化重度狭窄病变及钙化有关皇冠信用网在线注册。“如果患者需要做医疗事故鉴定,院方将全力配合。如果对方经济困难,医院愿意垫付费用做鉴定。”其还表示,医院将根据第三方相关鉴定,承担院方该承担的责任。
南都记者了解到,当前高女士向医院提出30万的索赔,院方认为索赔数目太高,建议走司法程序进行司法鉴定,以此明确医院的过错及比例,如果家属对血管里的导丝感到担心,医院可先补偿8000元皇冠信用网在线注册。
高女士表示,当前她已将诉求反映至省卫健委有关部门,正在进一步等候处理中皇冠信用网在线注册。
采写:南都N视频记者 林诗妍
猜你喜欢
- 4小时前皇冠信用网会员注册_嘉兴市原市长李军,调任浙江省海洋经济发展厅
- 6小时前皇冠信用网登3代理_受中国12万吨核航母刺激太大,美国掀桌子了,砸锅卖铁要建大航母
- 6小时前皇冠信用网登3代理_巴萨冬季转会市场的挑战:迪萨西是否成为防线的救世主?
- 6小时前皇冠信用网登3代理_巴萨冬季转会市场的挑战:迪萨西是否成为防线的救世主?
- 17小时前皇冠信用平台出租出售_同村两男子酒后争着买单大打出手,一人报警后被抓!酒醒后十分后悔
- 17小时前皇冠信用平台出租出售_卧室门一关,湿被子一堵!七旬夫妻的“神操作”火场保命,消防员都点赞
- 18小时前世界杯足球平台代理_“离婚冷静期毒杀儿女案”一审宣判:刘仲杰哄骗儿女喝农药致二人死亡,被判死刑
- 18小时前世界杯足球平台代理_圣诞大战-杜兰特25分詹姆斯18分 火箭大胜湖人
- 18小时前世界杯足球平台代理_广州市委常委、常务副市长、黄埔区委书记陈杰任江门市委书记
- 20小时前正版皇冠信用网_你真“刑”!北京一女子多次偷外卖被抓,自称受过高等教育,积蓄不少
- 20小时前正版皇冠信用网_菲律宾炫耀光电“锁定”054A,一看位置,原来已到菲军“家门口”了!
- 20小时前正版皇冠信用网_羡慕哭!新易盛给员工16块发股票,现在翻28倍!这班谁不想上?求扩招
- 1天前信用盘怎么注册_浙江俩女子吃完火锅刮中100万,此店去年同一天,开出846万大奖
- 1天前信用盘怎么注册_天津医科大学总医院原党委书记张建宁被查,系业界知名专家
- 1天前信用盘怎么注册_中山一员工中毒死亡,涉事企业破坏现场被建议从重处罚
- 1天前正版皇冠信用网开户_中国航天1月2次失败,长征十二号甲回收失利,火箭回收成难题?
- 1天前正版皇冠信用网开户_5架大型无人机锁定钓鱼岛?高市通告全球:要与中国打持久战
- 1天前皇冠信用网怎么开户_湖南湘西州委常委、州纪委书记何锋已任吉首大学党委书记
- 1天前皇冠信用网怎么开户_美国承认中国崛起,五角大楼一口咬定:中国10年后将坐拥9艘航母,特朗普很焦虑!
- 1天前皇冠信用网怎么开户_徐湖平关系网曝光,背景果然不简单
- 2天前皇冠信用网会员申请_朱孝天举报阿信所属公司“相信音乐”:勾结黄牛炒票逃税、海外洗钱、假唱……
- 2天前皇冠信用网会员申请_羽绒服为什么越穿越不暖和?专家:压缩、暴力机洗、干洗,会破坏羽绒结构,让空气层变薄
- 2天前怎么开皇冠信用平台_老人用地面消火栓的水洗生活物品,街道办回应
- 2天前怎么开皇冠信用平台_网友吐槽沈阳扫雪车弄脏路旁私家车,当地回应:难免出现该情况,表示歉意


网友评论